Lompat ke konten Lompat ke sidebar Lompat ke footer

16+ Small Cell Lung Cancer Metastasis To Brain PNG

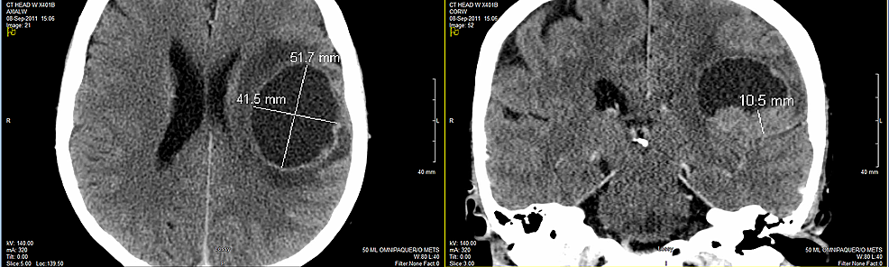
16+ Small Cell Lung Cancer Metastasis To Brain PNG. Cancer cells that have spread from where they started to other places. However, the molecular pathway of sclc bm remains largely unknown because of a lack of investigation.

Is whole-brain radiation still best for brain metastases ...
Is whole-brain radiation still best for brain metastases ... from debuglies.com
General information about small cell lung cancer (sclc). If lung cancer is suspected, the doctor may ask a person to cough up some phlegm so it can be looked at under a microscope. Some doctors will advise radiation to the brain to wipe out microscopic cancer cells.

Early lung cancer screenings can detect small cell lung cancer before it spreads, when the disease is most treatable by methods like radiation therapy, immunotherapy and chemotherapy.

Brain metastases are a common complication in a wide range of cancers, but they are particularly common among patients with lung cancer. It is characterized by rapid, uncontrolled growth of certain cells in the lungs. Small cell lung cancer (sclc) is an aggressive form of lung cancer. Metastasis is the main cause of death in cancer patients but remains a poorly understood process.

Posting Komentar untuk "16+ Small Cell Lung Cancer Metastasis To Brain PNG"